Blog
Quais são os exames de sangue solicitados após o diagnóstico de HIV?
Após o diagnóstico da infecção pelo HIV serão solicitados vários exames para avaliar a saúde do paciente. Os principais são: Carga viral: é a dosagem da quantidade de vírus no sangue. Linfócitos T CD4: são as células do sistema imune que os vírus costumam parasitar e destruir. Com isso, [...]
Como agem as medicações usadas no tratamento do HIV?
A infecção pelo HIV ainda não tem cura, mas tem um tratamento muito eficaz! Os antirretrovirais são as medicações usadas para tratar a infecção pelo HIV. Esses remédios inibem a multiplicação do vírus e com isso tiram ele da circulação sanguínea. Eles param de infectar novas células e então [...]
Quem vive com HIV pode ter filhos?
A resposta é sim! Com o tratamento adequado as pessoas que vivem com HIV podem ter filhos não infectados pelo vírus. Pra facilitar nossa conversa vou dividir o assunto em duas partes: como pessoas com útero (mulheres cis e homens trans) que vivem com HIV podem ter filhos e [...]
Precisamos Proteger os Antibióticos
A resistência das bactérias aos antibióticos é um seríssimo problema de saúde pública. O mau uso e o uso excessivo dos antibióticos são os principais responsáveis pelo desenvolvimento da resistência bacteriana. Esse mau uso pode ser em medicina, em odontologia, em veterinária e também em agropecuária. Nem todos, no [...]
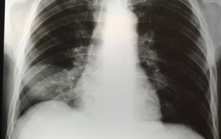
Pneumonia e HIV: Existe alguma relação?
As pessoas que vivem com HIV podem ter diversos tipos de pneumonia. Quanto mais prejudicada a imunidade (ou seja, quanto pior o CD4), maior o risco. Quando o CD4 é bom, o risco é parecido ao das pessoas que não vivem com HIV. Tipos de pneumonia que a pessoa [...]
É perigoso receber mais de uma vacina ao mesmo tempo?
Não, não faz mal receber várias vacinas ao mesmo tempo! Os estudos mostram que aplicar várias vacinas ao mesmo tempo é seguro, eficaz e não causa sobrecarga do sistema imunológico. Os programas de vacinação inclusive incentivam a realização de mais de uma vacina num mesmo momento. As vantagens de aplicar várias vacinas [...]